|
Mycoplasma pneumoniae ![]() Schematic of the phosphorylated proteins in the attachment organelle of Mycoplasma pneumoniae | ||
|---|---|---|
![]() | ||
| Taxonomía | ||
| Dominio: | Bacteria | |
| División: | Firmicutes | |
| Clase: | Mollicutes | |
| Orden: | Mycoplasmatales | |
| Familia: | Mycoplasmataceae | |
| Género: | Mycoplasma | |
| Especie: |
M. pneumoniae Somerson et al., 1963 | |
Mycoplasma pneumoniae (llamado también agente de Eaton, por el investigador que lo aisló por primera vez) causa enfermedades del aparato respiratorio, como la traqueobronquitis y la neumonía atípica. Son las bacterias de vida libre más pequeñas. Son peculiares debido a la ausencia de pared celular y a la presencia de esteroles en su membrana celular.[cita requerida]
Patogenia e inmunidad
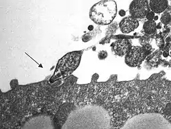
M. pneumoniae es un patógeno extracelular que se adhiere al epitelio respiratorio mediante una estructura de anclaje especializada, que se forma en un extremo de la célula. Esta estructura está constituida por un complejo de proteínas para adherencia, en la que destaca la adhesina P1 como la más importante. Las adhesinas interactúan de manera específica con los receptores de glucoproteínas sialidadas en la base de los cilios de la superficie de las células epiteliales (así como en la superficie de los eritrocitos). A continuación tiene lugar la ciliostasis, tras la que son destruidos en primer lugar los cilios y posteriormente las células del epitelio ciliar. La pérdida de estas células interfiere en el aclaramiento normal de las vías respiratorias superiores y permite que las vías respiratorias inferiores se contaminen con microorganismos y sufran una irritación mecánica. Este proceso es el responsable de la tos persistente que tienen los pacientes con enfermedad sintomática.
Varias especies de Mycoplasma son capaces de cambiar rápidamente la expresión de sus lipoproteínas de superficie, lo que probablemente tenga importancia en la evasión de la respuesta inmunitaria del hospedador y el establecimiento de infecciones persistentes o crónicas.
Pared celular
Esta especie carece de una pared. No obstante, tiene una membrana celular que incorpora compuestos esterol, similares a las células eucariotas. Mycoplasma obtiene estos esteroles del plasma del huésped, permitiéndole conservar una estructura simple. Al carecer de una pared celular, estos organismos son resistentes al efecto de la penicilina y otros antibióticos betalactámicos, los cuales actúan mediante la irrupción en la pared celular bacteriana.
Genoma
M. pneumoniae tiene unos de los genomas más pequeños que se conocen, con 816 pares de kilobases. Su genoma y proteoma han sido totalmente caracterizados. Este usa un único código genético, haciéndolo más similar a una mitocondria, que a cualquier otra bacteria. Por ello se dice que el Mycoplasma pneumoniae tiene un genoma degenerado. Carece de maquinaria celular para sintetizar muchos compuestos esenciales, incluyendo nuevas purinas y pirimidinas. Tampoco tiene el ciclo del ácido tricarboxílico y una cadena de transporte de electrones incompleta. Por estas circunstancias, es un parásito obligado y nunca es encontrado en la vida libre.
Epidemiología
M. pneumoniae es un patógeno humano estricto. La enfermedad respiratoria (es decir, traqueobronquitis, neumonía atípica) producida por M. pneumoniae tiene una distribución universal durante todo el año, sin que exista ningún aumento de la actividad de carácter estacional. Sin embargo, puesto que la neumonía causada por otros agentes infecciosos (p. ej., Streptococcus pneumoniae, virus) es más frecuente durante los meses de invierno, la enfermedad por M. pneumoniae es proporcionalmente más frecuente en verano y en otoño. La enfermedad epidémica se produce cada 4-8 años. La enfermedad es más frecuente en los niños en edad escolar y en los adultos jóvenes (de 5 a 15 años), aunque todos los grupos de edad son susceptibles.
M. pneumoniae coloniza la nariz, la garganta, la tráquea y las vías aéreas inferiores de los sujetos infectados y se disemina a través de las gotículas respiratorias más grandes durante los episodios de tos. La infección se suele diseminar entre compañeros de clase, familiares o contactos estrechos. La tasa de ataque es mayor en niños que en adultos (media global, alrededor del 60 %), probablemente debido a que la mayoría de los adultos disfruta de una inmunidad parcial como consecuencia de una exposición previa.
Diagnóstico de laboratorio
Se dispone de pruebas serológicas para M. pneumoniae. La detección de los anticuerpos frente a M. pneumoniae mediante la fijación del complemento constituye el patrón de referencia serológico convencional. Sin embargo, la sensibilidad de la prueba es baja y los anticuerpos frente al antígeno glucolípido diana también se forman como consecuencia de la exposición a otras especies de Mycoplasma y a los tejidos del hospedador.
Las especies de Mycoplasma pueden crecer en el medio selectivo agar PPLO, incubándolas a 35 °C durante 10-21 días.[1]
Tratamiento, Prevención y control
La eritromicina, las tetraciclinas (especialmente la doxiciclina) y las fluoroquinolonas más modernas son igual de eficaces para tratar las infecciones por M. pneumoniae, aunque las tetraciclinas y las fluoroquinolonas se reservan para los adultos.
La prevención de la enfermedad por Mycoplasma es problemática. Las infecciones por M. pneumoniae se propagan por contacto estrecho; por tanto, el aislamiento de las personas infectadas teóricamente reduciría el riesgo de infección.
Tanto las vacunas inactivadas como las vivas atenuadas han presentado malos resultados. La inmunidad protectora que confiere esta infección es baja.
Enfermedades clínicas
La exposición a M. pneumoniae produce típicamente un estado de portador asintomático. La presentación clínica más frecuente de la infección por M. pneumoniae es la traqueobronquitis. A las 2-3 semanas de la exposición aparece febrícula, malestar, cefalea y tos seca sin expectoración. Puede aparecer también una faringitis aguda. Los síntomas empeoran de forma gradual en los siguientes días y pueden persistir durante 2 semanas o más. Las vías bronquiales se infiltran por linfocitos y células plasmáticas. También se puede producir una neumonía (conocida como neumonía atípica primaria o neumonía «ambulatoria»), en la que se observa una neumonía parcheada en las radiografías de tórax, que característicamente es más llamativa de lo que lo son los hallazgos físicos. Las mialgias y los síntomas digestivos son infrecuentes. Las complicaciones secundarias incluyen alteraciones neurológicas (p. ej., meningoencefalitis, parálisis y mielitis), pericarditis, anemia hemolítica, artritis y lesiones mucocutáneas.
Historia
El M. pneumoniae fue conocido históricamente como un "agente de Eaton".[2] Inicialmente, el M. pneumoniae se consideró más un virus que una bacteria, cuando Monroe D. Eaton y sus colegas cultivaron el agente causante de la neumonía atípica.[3] Este agente fue cultivado en embriones de pollo y pasado a través de un filtro que excluía las bacterias normales. Sin embargo, no podía ser observado por el microscopio de luz de gran aumento y causaba una neumonía que no podía ser tratada con los antimicrobianos penicilina y sulfonamidas.[3] Eaton sugirió la posibilidad que la enfermedad fuera causada por mycoplasmas, pero este agente no crecía en los medios de cultivo disponibles en su momento. Estas observaciones llevaron a la conclusión que el organismo causante de la neumonía atípica era un virus. Investigadores en ese tiempo demostraron que los agentes cultivados podían causar enfermedad en ratas algodoneras y hámsteres infectados experimentalmente.
A pesar de la controversia de que si, realmente los investigadores habían aislado el agente causal de la neumonía atípica (basados principalmente en la respuesta inmunológica inusual de los pacientes con neumonía atípica), en retrospectiva su evidencia junto con aquella de sus colegas y competidores parecía ser poco conclusiva.[4] Se había reportado relación entre los agentes de Eaton a los Mycoplasmas, bien conocidos entonces como parásitos del ganado y roedores, debido a la sensibilidad a compuestos antimicrobianos (e.j. sales de oro orgánicas).[5]
A principios de los 60, Leonard Hayflick, entonces en el Wistar Institute en Filadelfia, fue el primero en aislar y cultivar el agente causal de la neumonía atípica primaria (agente de Eaton). Él identificó el agente como un Mycoplasma y lo llamó Mycoplasma pneumoniae.[cita requerida]
Referencias
- ↑ ASM (1984). «Cumitech 19; Laboratory Diagnosis of Chlamydial and Mycoplasmal Infections». American Society for Microbiology (Washington, D.C).
- ↑ Dajani, A.S.; W.A. Clyde Jr. and F.W. Denny (1965). «Experimental infection with Mycoplasma pneumoniae (Eaton's agent)». The Journal of Experimental Medicine 121: 1071-1086. PMC 2138014. PMID 14319403. doi:10.1084/jem.121.6.1071.
- 1 2 Eaton MD, Meiklejohn G, van Herrick W, Corey M (1945). «Studies on the etiology of primary atypical pneumonia. II. Properties of the virus isolated and propagated in chick embryos». J. Exp. Med. 82: 329-42.
- ↑ Marmion BP (1990). «Eaton agent—science and scientific acceptance: a historical commentary». Rev. Infect. Dis. 12 (2): 338-53. PMID 2109871.
- ↑ Marmion BP, Goodburn GM (enero de 1961). «Effect of an organic gold salt on Eaton's primary atypical pneumonia agent and other observations». Nature 189: 247-8. PMID 13767007. doi:10.1038/189247a0.
Bibliografía
- Murray, Rosenthal, Pfaller. (2014). Microbiología médica. Barcelona: Elsevier.

