| Necrosis grasa | ||
|---|---|---|
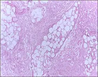
![]() Micrografía de tejido mamario que muestra necrosis grasa. Tinción Hematoxilina-Eosina | ||
| Especialidad | Anatomía Patológica | |
| Sinónimos | ||
| También conocida como necrosis de Balser | ||
La necrosis grasa es una forma de necrosis caracterizada por la acción de enzimas digestivos sobre la grasa.[1]
En la necrosis grasa el enzima lipasa libera ácidos grasos de triglicéridos. Entonces, los ácidos grasos se combinan con calcio para formar jabones. Estos jabones aparecen como depósitos calcáreos blancos.[2]
Normalmente está asociado con trauma del páncreas o pancreatitis aguda.[2][3] También puede ocurrir las mamas,[4] las glándulas salivales[5] y en neonatos después de un parto traumático.[cita requerida]
Véase también
- Necrosis caseosa
- Necrosis coagulativa
- Necrosis licuefactiva
- Mioesferulosis
- Necrosis
Referencias
- ↑ «Cell Injury».
- 1 2 Kumar, Vinay; Abbas, Abul K.; Fausto, Nelson; & Mitchell, Richard N. (2007). Robbins Basic Pathology (8th ed.). Saunders Elsevier. pp. 10-11 ISBN 978-1-4160-2973-1
- ↑ fat necrosis en el Diccionario Médico de Dorland
- ↑ «Fat necrosis after partial-breast irradiation with brachytherapy or electron irradiation versus standard whole-breast radiotherapy--4-year results of a randomized trial». Int. J. Radiat. Oncol. Biol. Phys. 69 (3): 724-31. November 2007. PMID 17524571. doi:10.1016/j.ijrobp.2007.03.055.
- ↑ «Archived copy». Archivado desde el original el 14 de abril de 2011. Consultado el 19 de septiembre de 2011.
Enlaces externos
Este artículo ha sido escrito por Wikipedia. El texto está disponible bajo la licencia Creative Commons - Atribución - CompartirIgual. Pueden aplicarse cláusulas adicionales a los archivos multimedia.
