| Neumomediastino | ||
|---|---|---|
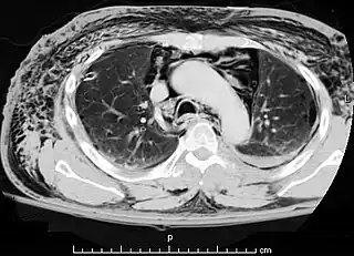
![]() Una TAC que muestra aire en el mediastino | ||
| Especialidad | radiología | |
El neumomediastino se define como la presencia de aire en el mediastino observado mediante una radiografía o prueba de imagen mediante TAC[1]. Normalmente ocurre cuando el aire sale de la vía aérea, el pulmón o el esófago y entra en esta cavidad.
El mediastino es el compartimento anatómico extrapleural situado en el centro del tórax, entre los pulmones derecho e izquierdo, por detrás del esternón y las uniones parodontales y por delante de las vértebras torácicas y de la vertiente más posterior de las costillas óseas. Por debajo está limitado por el músculo diafragmal y por arriba por el istmo cervicotorácico.
Etiología
El neumomediastino puede ocurrir de manera espontánea en sujetos sanos sin tener una causa clara atribuible[2]. El neumomediastino espontáneo es una entidad infrecuente que se presenta en ausencia de enfermedades o factores precipitantes y que generalmente afecta a varones jóvenes y sanos[3].
El neumomediastino puede ser secundario a causas intrínsecas del pulmón y la vía aérea, iatrogénico o traumático.
Clínica
- Generalmente suele haber el intervalo libre, que depende de la cantidad de aire acumulado y del tamaño de la perforación.
- Una vez pasado el intervalo libre comienza una sensación de angustia, de opresión retro-esternal con dificultad respiratoria.
- Cara angustiosa de color cianótico, sudor frío, ojos hundidos, midriasis.
- Poco a poco se va hinchando el cuello y la parte superior del tórax produciéndose una ingurgitación yugular. Puede haber una compresión del nérvio frénico dando lugar a náuseas, vómitos o hipo. También puede haber una compresión del nervio recurrente dando lugar a un cuadro de disfonía.
- También puede producirse un taponamiento cardíaco extrapericárdico, que va a dar lugar a un cuadro de hipotensión y taquicardia que, si no se soluciona inmediatamente, puede producir la muerte.
Pronóstico
El pronóstico es variable, hay casos asintomáticos que se detectan sólo en una radiografía lateral, en otros casos puede ser muy grave.
Tratamiento
Consiste en una descompresión urgente vaciando ese aire (mediastinotomía), además de tratamiento etiológico (sutura o intubación). Si no cicatriza bien se recurriría a un tratamiento quirúrgico.
Referencias
- ↑ Halitim, P (2021). «Pneumomédiastin spontané». Revui des Maladies Respiratories. PMID 35331625. doi:10.1016/j.rmr.2021.12.004. Consultado el 22 de junio de 2022.
- ↑ Kouritas, Vasileios K (2015). «Pneumomediastinum». Journal of Thoracic Disease. PMID 25774307. doi:10.3978/j.issn.2072-1439.2015.01.11. Consultado el https://www.ncbi.nlm.nih.gov/pmc/articles/PMC4332083/.
- ↑ Ruiz Ruiz, FJ (2006). «Neumomediastino espontáneo». Anales Sis San Navarra. Consultado el 22 de junio de 2022.
