| Neumotórax catamenial | ||
|---|---|---|
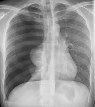
![]() Radiografía de un neumotórax. La amplia mayoría de los neumotórax catameniales ocurren en el lado derecho, al igual que en este caso. | ||
| Síntomas | dolor en el pecho | |
| Factores de riesgo | Defectos diafragmáticos congénitos o adquiridos que permiten la entrada de tejido endometrial en el espacio pleura | |
| Tratamiento |
Quirúrgico: procedimiento VATS para extirpar tejido endometrial ectópico | |
El neumotórax catamenial es un neumotórax espontáneo que recurre durante la menstruación, dentro de las 72 horas anteriores o posteriores al inicio de un ciclo. Es una de las manifestaciones clínicas de la endometriosis torácica. Se caracteriza por producirse, a las pocas horas o días de comenzar la menstruación, un neumotórax —acumulación de aire entre el pulmón y la serosa que lo rodea, la pleura—.[2] Aunque se asocia con la presencia de tejido endometrial en el tórax, no es un hallazgo histológico constante en las personas afectadas. Según la fuente, entre un 87.5 % y un 100 % de los casos ocurren en el pulmón derecho.[2] El tratamiento consiste en suprimir la secreción de estrógenos por parte del ovario, por ejemplo con anticonceptivos orales, o en cirugía de tórax.[3]
El primer caso fue descrito en 1958, pero no recibió el nombre de neumotórax catamenial hasta 1972.[3][4]
Referencias
- ↑ Sencen, Lisa. «Catamenial Pneumothorax». NORD (National Organization for Rare Disorders) (en inglés estadounidense). Consultado el 27 de julio de 2022.
- 1 2 Visouli, Aikaterini N.; Zarogoulidis, Konstantinos; Kougioumtzi, Ioanna; Huang, Haidong; Li, Qiang; Dryllis, Georgios; Kioumis, Ioannis; Pitsiou, Georgia; Machairiotis, Nikolaos; Katsikogiannis, Nikolaos; Papaiwannou, Antonis; Lampaki, Sofia; Zaric, Bojan; Branislav, Perin; Porpodis, Konstantinos; Zarogoulidis, Paul (octubre de 2014). «Catamenial pneumothorax». Journal of Thoracic Disease (en inglés) 6 (4): S448-S460. PMC 4203986. PMID 25337402. doi:10.3978/j.issn.2072-1439.2014.08.49. Consultado el 6 de marzo de 2022.
- 1 2 Azizad-Pinto, Parisa (2014). «Thoracic Endometriosis Syndrome: Case Report and Review of the Literature». The Permanente Journal (en inglés) 18 (3): 61-65. PMC 4116267. PMID 25102519. doi:10.7812/TPP/13-154. Consultado el 6 de marzo de 2022.
- ↑ «Neumotorax catamenial». rarediseases.info.nih.gov. Consultado el 7 de diciembre de 2022.
