| Pancreatitis crónica | ||
|---|---|---|
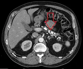
![]() TC axial que muestra múltiples calcificaciones en el páncreas en un paciente con pancreatitis crónica | ||
| Especialidad | gastroenterología | |
| Síntomas | Náuseas y vómitos[1][2] | |
| Causas | Alcohol(ismo), Trastorno inmunológico[3] | |
| Diagnóstico | Tripsinógeno sérico, Test de grasa fecal[1] | |
| Tratamiento | Medicamentos para el dolor, evitar el alcohol (y el tabaco), entre otras medidas de control[1] | |
La pancreatitis crónica es una inflamación progresiva del páncreas,[4] que da lugar a su destrucción, provocando la pérdida de sus funciones principales: alteración de la digestión de los alimentos (maldigestión) y aumento de los niveles de azúcar en sangre (diabetes mellitus).
Etiología
La causa más frecuente es la ingesta de mucho alcohol, la cual da lugar al 70 a 90% de los casos.[3] En un 10 a 30% de las pancreatitis crónicas no se conoce la causa (es lo que se llama pancreatitis crónica idiopática). Una pequeña parte de los casos de pancreatitis crónica tienen relación familiar pancreatitis crónica hereditaria). También se ha relacionado con el aumento de los niveles de calcio o de triglicéridos en la sangre. En los niños, la causa más frecuente es la fibrosis quística.
Clínica
La pancreatitis crónica se caracteriza por ataques recurrentes de dolor abdominal superior y dorsalgia intensos,[1] acompañados de vómitos.[2] Conforme avance la enfermedad los ataques recurrentes de dolor son cada vez más intensos, frecuentes y prolongados.
La disminución de peso es un problema de importancia en la pancreatitis crónica[2] y más del 75% de los pacientes baja de peso de forma considerable, por lo regular a causa de un menor consumo de alimentos por anorexia o por temor de que precipiten otro ataque.
La digestión se trastorna, en especial la de proteínas y grasas; las defecaciones se vuelven frecuentes, con heces espumosas y de olor desagradable a raíz de trastornos de la digestión de las grasas que se traducen en un alto contenido de estas en la materia fecal (esteatorrea).[2]
En casos avanzados podemos encontrar un aumento de los niveles de azúcar en sangre debido a la disminución de los niveles de insulina producidas por el páncreas, lo cual da lugar a una diabetes mellitus.[5]
Es un factor de riesgo para la enfermedad de Wernicke.
Diagnóstico
El diagnóstico de la pancreatitis crónica es difícil. Los análisis de sangre habitualmente no son útiles. Las pruebas diagnósticas más importantes son las de imagen.[6][7] La presencia de calcificaciones pancreáticas en una radiografía simple de abdomen es diagnóstico de pancreatitis crónica pero lo más frecuente es que no se vean. Existen muchas otras pruebas de imagen que nos permiten llegar al diagnóstico: ecografía, tomografía axial computarizada y resonancia magnética del abdomen, endoscopia digestiva con inyección de contraste en el páncreas (colangiopancreatografía retrógrada endoscópica o CPRE) o ecografía a través de endoscopia digestiva (ecoendoscopia). Existen otras pruebas que sirven para medir la capacidad de funcionamiento del páncreas.
Tratamiento
Las diferentes opciones de tratamiento para el manejo de la pancreatitis crónica son las medidas médicas, la endoscopia terapéutica y la cirugía.[8] El tratamiento se dirige, cuando es posible, a la causa subyacente, y para aliviar el dolor y la malabsorción. La diabetes mellitus dependiente de la insulina puede presentarse y requerir una terapia de insulina a largo plazo.[9] El dolor abdominal puede ser muy intenso y requerir altas dosis de analgésicos, a veces incluso opiáceos. El cese del alcohol y las modificaciones en la dieta (dieta baja en grasas) son importantes para controlar el dolor y ralentizar el proceso calcificante.[10] Los antioxidantes pueden ayudar pero no está claro si los beneficios son significativos.[11]
Enzimas pancreáticas
El reemplazo de las enzimas pancreáticas suele ser eficaz en el tratamiento de la malabsorción y la esteatorrea asociadas con la pancreatitis crónica. El tratamiento de la PC consiste en la administración de una solución de enzimas pancreáticas con las comidas. Algunos pacientes tienen una reducción del dolor con el reemplazo de enzimas y, dado que son relativamente seguras, administrar el reemplazo de enzimas a un paciente con pancreatitis crónica es un paso aceptable en el tratamiento para la mayoría de los pacientes. El tratamiento puede tener más probabilidades de éxito en aquellos con
Cirugía
La cirugía para tratar la pancreatitis crónica tiende a dividirse en dos áreas: procedimientos de resección y de drenaje. Entre las razones para optar por la cirugía se encuentran si hay un pseudoquiste, una fístula, una ascitis o una obstrucción fija.[3]
Referencias
- 1 2 3 4 «Chronic pancreatitis». «When scarring of the pancreas occurs, the organ is no longer able to make the right amount of these enzymes. As a result, your body may be unable to digest fat and key elements of food. Damage to the parts of the pancreas that make insulin may lead to diabetes ».
- 1 2 3 4 «What is chronic pancreatitis?». Archivado desde el original el 9 de mayo de 2017. Consultado el 6 de diciembre de 2020. «diabetes; upper abdominal pain that is frequently chronic and debilitating. Pain is the most common symptom of chronic pancreatitis. The pain may increase after drinking or eating, and lessens when fasting or sitting and leaning forward. However, some people with chronic pancreatitis report little to no pain; from google (chronic pancreatitis smelly poop) result 1 ».
- 1 2 3 Chronic Pancreatitis: Practice Essentials, Background, Pathophysiology. 11 de noviembre de 2018.
- ↑ «Chronic pancreatitis: MedlinePlus Medical Encyclopedia». www.nlm.nih.gov. Consultado el 29 de noviembre de 2015.
- ↑ Torpy, JM (Sep 2007). Type 1 Diabetes 298 (12). JAMA. doi:10.1001/jama.298.12.1472.
- ↑ «Chronic Pancreatitis. Hereditary pancreas disorders information | Patient». Patient (en inglés británico). Consultado el 29 de noviembre de 2015.
- ↑ «Acute Pancreatitis. Pancreatitis Symptoms and Information | Patient». Patient (en inglés británico). Consultado el 29 de noviembre de 2015.
- ↑ American Gastroenterological Association Medical Position Statement (1998). «American Gastroenterological Association Medical Position Statement: treatment of pain in chronic pancreatitis». Gastroenterology 115 (3): 763-4. PMID 9721174. doi:10.1016/S0016-5085(98)70156-8.
- ↑ Ewald, Nils; Hardt, Philip D (14 de noviembre de 2013). «Diagnosis and treatment of diabetes mellitus in chronic pancreatitis». World Journal of Gastroenterology 19 (42): 7276-7281. ISSN 1007-9327. PMC 3831209. PMID 24259958. doi:10.3748/wjg.v19.i42.7276.
- ↑ American Gastroenterological Association Medical Position Statement (1998). «American Gastroenterological Association Medical Position Statement: treatment of pain in chronic pancreatitis». Gastroenterology 115 (3): 763-4. PMID 9721174. doi:10.1016/S0016-5085(98)70156-8.
- ↑ Ahmed Ali, U; Jens, S; Busch, OR; Keus, F; van Goor, H; Gooszen, HG; Boermeester, MA (Aug 21, 2014). «Antioxidants for pain in chronic pancreatitis.». The Cochrane Database of Systematic Reviews 8 (8): CD008945. PMID 25144441. doi:10.1002/14651858.CD008945.pub2.
Véase también
Bibliografía
- Clínicas Quirúrgicas de Norteamérica 2007. Volumen 87 n.º 6: Trastornos pancreáticos benignos.
