
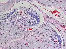
Un poliembrioma es un tipo de tumor de células germinales mixto extremadamente raro[1] en el que aparecen cuerpos embrioides similares a embriones reales de entre trece y dieciocho días de gestación[2] en un estroma mixoide (o fibroso, a veces) ocasionalmente con hemorragia abundante.[3] Puede haber poliembriomas ováricos o testiculares.[4] Fue descrito en 1936 por el médico francés Albert Peyron, quien le dedicó diecisiete artículos hasta 1941.[4] El origen del término es incierto, pero aparece en los documentos de una reunión en Zúrich en 1971 y en la clasificación de tumores testiculares de la OMS de 1977.[5]
No se ha descrito ningún poliembrioma compuesto exclusivamente por cuerpos embrioides, sino que siempre tiene cierto componente de teratoma, coriocarcinoma o de tumor de células germinales mixto. Robert E. Scully considera que esta neoplasia es «el tipo más primitivo e inmaduro de teratoma».[6] Los cuerpos embrioides son aproximadamente el 90 % del tumor.[1] En ocasiones se ha detectado un aumento de la alfa-fetoproteína sérica atribuido a la proliferación de epitelio de saco vitelino y también una elevación de la gonadotropina coriónica humana quizá debida a células de sincitiotrofoblasto.[6]
Los síntomas incluyen una masa abdominal a veces dolorosa y pubertad precoz[7] y se suelen dar en el mismo rango de edad que el resto de tumores de células germinales.[1] En cuanto al pronóstico, en un estudio con once mujeres la mitad murieron durante el primer año tras el diagnóstico. No hay un tratamiento estandarizado, pero se suele hacer cirugía para extirpar el tumor y posteriormente se administra quimioterapia y, a veces, radioterapia.[7]
Referencias
- 1 2 3 Matoso, Andres (1 de septiembre de 2017). «Polyembryoma». pathologyoutlines.com (en inglés). Consultado el 9 de junio de 2020.
- ↑ Stall y Young, 2017, p. 908.
- ↑ Young, Stall y Sevestre, 2016, p. 96.
- 1 2 Young, Stall y Sevestre, 2016, p. 93.
- ↑ Stall y Young, 2017, p. 912.
- 1 2 Young, Stall y Sevestre, 2016, p. 95.
- 1 2 «Polyembryoma». Genetic and Rare Diseases Information Center (en inglés). Consultado el 9 de junio de 2020.
Bibliografía
- Stall, Jennifer N; Young, Robert H (21 de abril de 2017). «Polyembryoma of the testis: a report of two cases dominant within mixed germ cell tumors and review of gonadal polyembryomas». Modern Pathology (en inglés) 30 (7): 908-918. PMID 28429716. doi:10.1038/modpathol.2017.25. Consultado el 9 de junio de 2020.
- Young, Robert H.; Stall, Jennifer N.; Sevestre, Henri (marzo de 2016). «The Polyembryoma: One of the Most Intriguing Human Neoplasms, With Comments on the Investigator Who Brought It to Light, Albert Peyron». International Journal of Gynecological Pathology (en inglés) 35 (2): 93-105. PMID 26840034. doi:10.1097/PGP.0000000000000282. Consultado el 9 de junio de 2020.