
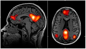
La red neuronal por defecto (RND) es un conjunto de regiones del cerebro que colaboran entre sí y que podría ser responsable de gran parte de la actividad desarrollada mientras la mente está en reposo.
La RND demuestra que el cerebro no se encuentra al ralentí cuando no interviene en actividades conscientes (por ejemplo, cuando se está bajo los efectos de una anestesia). Probablemente, emite señales de sincronización para coordinar la actividad entre esas regiones, lo que aseguraría que las mismas se hallen listas para reaccionar de forma concertada ante los estímulos.
Históricamente, la comprensión del cerebro llevaba aparejada la idea de que la mayoría de sus regiones permanecían bastante tranquilas hasta que se las requería para iniciar alguna tarea específica. Las investigaciones recientes han puesto de manifiesto que el desarrollo de una tarea concreta implica un aumento del consumo energético del cerebro que supone menos del 5% de la actividad basal subyacente; por el contrario, la mayor parte de la actividad global (entre el 60 y el 80% de toda la energía que utiliza el cerebro) se despliega en circuitos que no tienen relación alguna con acontecimientos externos.
Tras conocerse la posibilidad de una vida interna del cerebro, a mediados de los noventa se descubrió que cuando los sujetos realizan alguna tarea, ciertas regiones del cerebro experimentaban una disminución de su nivel de actividad, si se compara con el estado basal de reposo. Tales áreas (una parte de la corteza parietal medial y la corteza prefrontal medial), consideradas las «centralitas principales» de la RND, experimentan esa caída cuando otras áreas se ven implicadas en la ejecución de una tarea determinada.
Cabe la posibilidad de que la RND organice el modo en que el cerebro organiza los recuerdos y diversos sistemas que necesitan cierta preparación ante futuros sucesos. Por lo demás, si la RND prepara al cerebro para la actividad consciente, las investigaciones sobre su comportamiento pueden revelar las claves para comprender la naturaleza de la experiencia consciente. Igualmente, las alteraciones de la RND podrían ser la causa subyacente de errores mentales, tanto los más sencillos como los más complejos, desde la enfermedad de Alzheimer a la depresión.
Alteraciones
Depresión
Estados depresivos se han asociado con la rumia, un proceso de autoreferencia complicado de dejar y que está vinculado a un incremento en la actividad de la RND.
Déficit atencional
Otros estudios señalan a la RND como clave en el funcionamiento del trastorno por déficit de atención con hiperactividad, donde el sujeto tiene problemas a la hora de iniciar una tarea, puesto que encienden la red neuronal orientada a tareas pero no logran apagar la RND de manera simultánea.[3]
Véase también
- Red neuronal orientada a tareas
Referencias
- ↑ Horn, Andreas; Ostwald, Dirk; Reisert, Marco; Blankenburg, Felix (2013). «The structural-functional connectome and the default mode network of the human brain». NeuroImage 102: 142-151. PMID 24099851. doi:10.1016/j.neuroimage.2013.09.069.
- ↑ Garrity, A.; Pearlson, G. D.; McKiernan, K.; Lloyd, D.; Kiehl, K. A.; Calhoun, V. D. (2007). «Aberrant default mode functional connectivity in schizophrenia». Am. J. Psychiatry 164: 450-457. doi:10.1176/ajp.2007.164.3.450.
- ↑ Hamilton, J.Paul (2011). «Default-Mode and Task-Positive Network Activity in Major Depressive Disorder: Implications for Adaptive and Maladaptive Rumination». Biological Psychiatry, Society of Biological Psychiatry 70: 327-333. Consultado el 6 de junio de 2014.
Bibliografía
- Marcus E. Raichle, «La red neuronal (por defecto)», Investigación y Ciencia, 404, mayo de 2010, págs. 20-26.
- Palhano-Fontes F, Andrade KC, Tofoli LF, Santos AC, Crippa JAS, Hallak JEC, et al. (2015) The Psychedelic State Induced by Ayahuasca Modulates the Activity and Connectivity of the Default Mode Network. PLoS ONE 10(2): e0118143. doi:10.1371/journal.pone.0118143
