| Síndrome de Alström | ||
|---|---|---|
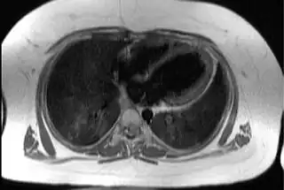
![]() Imagen transaxial del tórax a nivel del corazón, ilustrando la típica capa de tejido adiposo subcutáneo y epicárdico (en blanco) en un paciente con este síndrome. | ||
| Especialidad |
genética médica oftalmología neurología | |
El síndrome de Alström es una enfermedad hereditaria muy rara que se transmite según un patrón autosómico recesivo, lo que significa que para que un niño la presente debe heredar una copia del gen defectuoso de cada uno de sus padres. Fue descrita en 1959 por Carl Henry Alström y Bertil Hallgren. Los pacientes afectados presentan ceguera, sordera, cardiopatía, diabetes e insuficiencia renal.[1]
Origen

La causa es una mutación en el gen ALMS1 situado en el cromosoma 2 humano.
Síntomas
Los síntomas principales son déficit de la función cardiaca, pérdida progresiva de visión, diabetes mellitus de comienzo juvenil, obesidad, sordera, retraso del crecimiento e insuficiencia renal.
Los síntomas suelen aparecer en un orden determinado, primero las alteraciones visuales que están presentes en el primer mes de vida y se deben a una distrofia de la retina; evolucionan progresivamente y pueden conducir a la ceguera alrededor de los 7 años. Más adelante surgen las alteraciones cardiacas que consisten en una miocardiopatía por afectación del músculo cardiaco.
La sordera que también es progresiva se inicia entre los 4 y 8 años. En la adolescencia aparece por lo general la obesidad, más adelante la diabetes y por último entre los 20 y los 40 la insuficiencia renal.
Diagnóstico
No existe una prueba específica para precisar el diagnóstico, por lo que este se basa en la descripción de los síntomas característicos. Es preciso realizar el diagnóstico diferencial con el Síndrome de Bardet-Biedl.
Tratamiento
No existe tratamiento curativo, por lo cual el objetivo terapéutico se basa en mejorar los síntomas. Al tratarse de un proceso que afecta a muchos órganos, están implicados diferentes especialistas que deben trabajar de forma coordinada, entre los que se incluye el pediatra, médico de familia, oftalmólogo, endocrinólogo, otorrinolaringólogo y cardiólogo.
Referencias
- ↑ Sistema de información sobre enfermedades raras en español: Síndrome de Alström. Consultado el 3-3-2010
