
El síndrome de Cronkhite-Canada es una enfermedad rara no hereditaria que se caracteriza por la aparición de pólipos harmartosos en estómago e intestinos delgado y grueso, diarrea y alteraciones cutáneas.[1] Fue descrito por primera vez en 1955[2] por Leonard W. Cronkhite y Wilma Jeanne Canada.[3]
Cuadro clínico
La enfermedad, no hereditaria, se caracteriza por los pólipos hamartosos no adenomatosos que se distribuyen por todo el tubo digestivo, excepto el esófago.[4] Los síntomas incluyen diarrea, náuseas, vómitos, pérdida de peso y ageusia (ausencia o pérdida casi completa del sentido del gusto),[2] además de manifestaciones dermatológicas, consecuencia probable de la malnutrición,[4] que incluyen la alopecia, la hiperpigmentación y la onicodistrofia.[1] La mortalidad, debida principalmente a la desnutrición, alcanza el 60 %.[2]
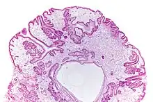
Anatomía patológica
Los pólipos son similares a los del síndrome de poliposis juvenil. Suelen ser sésiles,[2] con dilatación glandular, edema del estroma e inflamación eosinofílica.[4] La tinción para el subtipo de anticuerpo IgG4 es positiva debido a la infiltración de células plasmáticas que lo producen.[5]
Epidemiología
Afecta principalmente a varones asiáticos[2] entre los cincuenta y sesenta años.[6] Hasta 2012 se habían notificado aproximadamente cuatrocientos casos en todo el mundo,[7] el 75 % de ellos en Japón.[4]
Tratamiento
No se han realizado ensayos clínicos para conocer la efectividad de las distintas opciones, aunque se ha utilizado sobre todo soporte nutricional, corticoides, antibióticos, antagonistas de los receptores H2, inhibidores de la bomba de protones, cromoglicato de sodio y cirugía.[8]
Referencias
- 1 2 Sweetser y Boardman, 2012, pp. 201-202.
- 1 2 3 4 5 Marín Serrano et al., 2006, p. 620.
- ↑ Cronkhite y Canada, 1955, pp. 1011-1015.
- 1 2 3 4 Samoha y Arber, 2005, p. 199.
- ↑ Sweetser y Boardman, 2012, p. 202.
- ↑ Seshadri, Karagiorgos y Hyser, 2012, p. 200.
- ↑ Seshadri, Karagiorgos y Hyser, 2012, p. 199.
- ↑ Ward y Wolfsen, 2003, pp. 385-387.
Bibliografía
- Cronkhite, Leonard W.; Canada, Wilma Jeanne (16 de junio de 1955). «Generalized Gastrointestinal Polyposis: An Unusual Syndrome of Polyposis, Pigmentation, Alopecia and Onychotrophia». New England Journal of Medicine (en inglés) 252 (24): 1011-1015. PMID 14383952. doi:10.1056/NEJM195506162522401.
- Marín Serrano, Eva; Guillén Mariscal, Pablo; Pérez-Requena, José; Rendón Unceta, Paloma (diciembre de 2006). «Síndrome de Cronkhite-Canada: una poliposis adquirida y potencialmente reversible». Gastroenterología y Hepatología 29 (10): 619-621. PMID 17198639. doi:10.1157/13095196. Consultado el 11 de agosto de 2020.
- Samoha, Smadar; Arber, Nadir (2005). «Cronkhite-Canada Syndrome». Digestion (en inglés) 71 (4): 199-200. PMID 15942206. doi:10.1159/000086134.
- Seshadri, Deepti; Karagiorgos, Nikolaos; Hyser, Matthew J. (marzo de 2012). «A case of Cronkhite-Canada syndrome and a review of gastrointestinal polyposis syndromes.». Gastroenterology & hepatology (en inglés) 8 (3): 197-201. PMC 3365525. PMID 22675284. Consultado el 11 de agosto de 2020.
- Sweetser, Seth; Boardman, Lisa A. (marzo de 2012). «Cronkhite-Canada syndrome: an acquired condition of gastrointestinal polyposis and dermatologic abnormalities.». Gastroenterology & hepatology (en inglés) 8 (3): 201-203. PMC 3365526. PMID 22675285. Consultado el 11 de agosto de 2020.
- Ward, Eric M.; Wolfsen, Herbert C. (marzo de 2003). «Pharmacological management of Cronkhite–Canada syndrome». Expert Opinion on Pharmacotherapy (en inglés) 4 (3): 385-389. PMID 12614190. doi:10.1517/14656566.4.3.385.