| Síndrome de Turner, x | ||
|---|---|---|
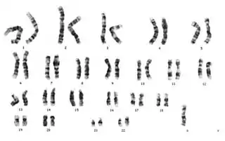
![]() Cariotipo al que le falta un cromosoma X. | ||
| Especialidad | genética médica | |
| Síntomas | Cuello "alado", baja estatura, manos y pies hinchados.[1] | |
| Complicaciones | Defectos cardíacos, diabetes, hormona tiroidea baja.[1] | |
El síndrome de Turner, síndrome de Ullrich-Turner, monosomia X, también conocido como 45,X o 45,X0, es una afección genética rara, que afecta únicamente a las mujeres, provocada por la ausencia total o parcial de un cromosoma X.[2][1]
La cantidad normal de cromosomas en los seres humanos es 46. Dos de estos cromosomas determinan el sexo (los cromosomas sexuales). Las mujeres normalmente tienen dos de los mismos cromosomas sexuales (XX), mientras que los hombres presentan un cromosoma X y un cromosoma Y (XY). En las mujeres con síndrome de Turner, a las células les falta todo o parte de un cromosoma X. Lo más común es que la paciente tenga solo un cromosoma X; otras, pueden tener dos cromosomas X, pero uno de ellos está incompleto. Algunas veces, sucede que ciertas células presentan los dos cromosomas X, pero otras células tienen solo uno (mosaicismo).[2]
Esta afección se genera prácticamente en el momento de la concepción y no es prevenible.
Tanto fenotípica como genotípicamente son mujeres (por ausencia de cromosoma Y). Se trata de la única monosomía viable en humanos, dado que la carencia de cualquier otro cromosoma en la especie humana es letal.
La ausencia del cromosoma Y determina el sexo femenino de todos los individuos afectados, y la ausencia del segundo cromosoma X determina la falta de desarrollo de los caracteres sexuales primarios y secundarios. Esto confiere a las mujeres que padecen el síndrome de Turner un aspecto infantil y esterilidad de por vida. La incidencias es de, aproximadamente, 1 de cada 2500 niñas.
Otros nombres alternativos son síndrome Bonnevie-Ullrich o disgenesia gonadal, monosomia X.[3]
Historia
El síndrome de Turner recibe su nombre en honor a su descubridor, el endocrinólogo Henry H. Turner, que realizó una descripción por primera vez de las características de unas 7 mujeres que captaron su atención en 1938. Sin embargo, no fue hasta 1959 cuando Ford y colaboradores diagnosticaron la causa de estos síntomas mediante un cariotipo (observaron tan solo un cromosoma X), demostrando así que el síndrome de Turner era resultado de la ausencia parcial o total del segundo cromosoma sexual en los seres humanos.[4]
Etiología

En pocos casos, uno de los padres lleva silenciosamente cromosomas reorganizados que pueden ocasionar el síndrome de Turner en una hija, pero esta es la única situación en la que este síndrome es heredado. En general no es hereditario. No se conoce con exactitud cuál es la causa del síndrome de Turner. Actualmente, hay dos teorías: la teoría meiótica y la mitótica:[5]
La teoría meiótica afirma que durante la formación del óvulo o los espermatozoides (gametogénesis), alguno de ellos pudo haber sufrido un error y no portar un cromosoma X. Si el óvulo o el espermatozoide han sufrido esta pérdida cromosómica, el individuo contará con dicha ausencia (45, X0)
La teoría mitótica, por otro lado, postula que la pérdida de uno de los cromosomas no se produce en los gametos (óvulo o espermatozoide) sino que tiene lugar más tarde, durante el primer periodo del desarrollo embrionario (en las primeras semanas de gestación). Esto explicaría el mosaicismo presente en muchas de estas pacientes; es decir, la existencia en un mismo individuo de células con contenido genético y cromosómico diferente, teniendo poblaciones celulares con un solo cromosoma X y poblaciones con dos de ellos (46, XX/45, X0).
Las investigaciones más recientes apoyan la segunda teoría, y no la primera. En el 75% de los casos, el cromosoma X ausente tiene origen paterno.
Cuadro clínico

Los rasgos principales son: baja estatura, piel del cuello arrugada (a causa del higroma quístico en el periodo fetal), desarrollo retardado o ausente de las características sexuales secundarias (mamas pequeñas), ausencia de la menstruación, ptosis palpebral, implantación baja de orejas y de cabello, cubito valgo, tórax ancho.
Pueden tener problemas, como carencia de la mucosa natural que lubrica la vagina, relaciones sexuales dolorosas, osteoporosis, coartación de aorta, válvula aórtica bicúspide, riñón en herradura, hidronefrosis, agenesia renal, hipertensión arterial, obesidad, diabetes o dislipemias, tiroiditis de Hashimoto, cataratas, artritis, escoliosis, o tendencia a infecciones en el oído medio. No suele haber retraso mental pero sí dificultades para las matemáticas y en el aprendizaje de la comunicación no verbal.
Se diagnostica, a veces, intraútero y más a menudo, al nacer, pero cuando no suele pasar inadvertido es en la pubertad, cuando existe ausencia o retraso de la menstruación y se presenta un retraso en el desarrollo de las características sexuales secundarias.
- El examen físico revela genitales y mamas subdesarrollados, cuello corto, baja estatura y desarrollo anormal del tórax (tórax plano y ancho en forma de escudo, con pezones anormalmente distanciados).
- El cariotipo muestra 45 cromosomas con un modelo de 45 X, o es decir, un cromosoma sexual ausente.
- El ultrasonido puede revelar órganos reproductores femeninos pequeños o subdesarrollados.
- El examen ginecológico puede revelar sequedad del recubrimiento de la vagina.
- La hormona luteinizante sérica se encuentra elevada.
- La hormona foliculoestimulante sérica se encuentra elevada.
Aspectos psicológicos
Las niñas con ST generalmente tienen una inteligencia normal, pero algunas pueden tener dificultades de aprendizaje, especialmente en matemáticas. Muchas niñas también tienen problemas con tareas que requieren habilidades especiales, como lectura de mapas u organización visual. Los problemas auditivos también son más comunes en niñas con el síndrome de Turner.[6]
[6] Sin embargo, al medir el CI de un grupo de niñas afectadas por la enfermedad, este se encontraba dentro de la normalidad pero en los límites inferiores. La base de este hecho se encuentra en dificultades en el procesamiento perceptivo espacial (se cree que su origen puede ser una disfunción del sistema nervioso), lo que da lugar a problemas con las matemáticas y con el dibujo en la edad escolar, aunque estos problemas pueden subsanarse, en parte, con esfuerzo por parte de las niñas, los padres y los profesores.
Por otra parte, es frecuente un retraso en su madurez emocional. Esta inmadurez está claramente relacionada con la sobreprotección que reciben de sus padres y familiares, que se debe en gran medida a que tienden a tratarlas sobre la base de su baja estatura, lo que las perjudica haciendo que se mantengan inmaduras y dependientes. También es habitual que las niñas tengan una autoestima baja, debido a los posibles signos físicos del síndrome (especialmente la baja estatura).
Enfermedades asociadas
- Anomalías renales[7]
- Presión sanguínea alta (hipertensión)[7]
- Obesidad[7]
- Diabetes mellitus[7]
- Infertilidad[7]
- Tiroiditis de Hashimoto[7]
- Cataratas[7]
- Artritis[7]
- Estenosis aórtica o estrechamiento de la aorta infantil[7] o ensanchamiento de la aorta en un adulto en Cardiopatía congénita[7]
- Infecciones del oído medio[7]
- Escoliosis (en la adolescencia)[7]
Diagnóstico
.jpg.webp)
Lo más habitual es que el diagnóstico se realice en la recién nacida, especialmente si presenta el llamativo pterygium colli (pliegues característicos en el cuello). Las características faciales pueden ser no muy llamativas, incluso no llegándose a apreciar a simple vista anomalía alguna en una mujer. Igualmente, una hinchazón anormal de manos y pies puede ser un distintivo de este trastorno.
Una mujer aparentemente normal puede enterarse de que padece la enfermedad en el justo momento de querer tener descendencia y presentar esterilidad. En el caso de que el síndrome de Turner no sea diagnosticado durante los primeros años de la infancia o niñez, se hará más adelante por la estatura baja o la amenorrea.
La forma de diagnosticar esta enfermedad es mediante un cariotipo que se realiza a partir de una muestra de sangre de la paciente, una vez reconocidos diversos síntomas que indican que la enfermedad puede estar presente.
Aproximadamente, la mitad de las niñas Turner han perdido un cromosoma X completo (son 45 X0). También son comunes las pérdidas de partes de cromosomas (deleciones) o mezcla de varios de ellos en diferentes células (mosaicos). Aunque es muy raro, algunas niñas Turner tienen una pequeña parte del cromosoma Y. En este caso aumenta la probabilidad de que se desarrolle un tumor en los restos ováricos (cintillas) denominado gonadoblastoma.
El linfedema es la razón más común que lleva a los médicos a estudiar si el paciente tiene este síndrome durante la infancia, mientras que la baja estatura es lo que más comúnmente conduce a la evaluación durante la niñez y la adolescencia. Se suele realizar un cariotipo estándar 30 de células, que identifica al menos un 10 % de mosaicismo con un 95% confianza. El genotipado de tejidos adicionales puede estar justificado si el cariotipo periférico resulta normal cuando hay una alta sospecha de que la enfermedad está presente.
Para completar el diagnóstico, se recurre a pruebas complementarias como radiografías de muñeca y mano (se verifica la edad ósea, la longitud del hueso metacarpiano y la disposición de los huesos de la muñeca). Por otra parte, se realizan análisis hormonales, generalmente para comprobar que el tiroides y las gónadas funcionan con normalidad. Dependiendo de la situación, también pueden realizarse exploraciones cardiológicas y auditivas y ecografías renales y pélvicas.
Avances recientes han puesto de manifiesto el valor de la pirosecuenciación de alto rendimiento a partir de hisopos bucales para detectar el síndrome de Turner. Esta prueba puede detectar fácilmente la pérdida total de un Cromosoma X o un mosaicismo con una sensibilidad de hasta el 97 %. La aplicabilidad de esta tecnología aún tiene que establecerse, pero puede ser realmente útil para una detección no invasiva de la anomalía. El potencial para el cribado poblacional es atractivo, tal vez como parte de la futura evaluación rutinaria de los recién nacidos.[8]
Diagnóstico prenatal
Es muy importante que el diagnóstico se haga lo antes posible (precoz), con el fin de comenzar el tratamiento cuanto antes para que sea lo más efectivo posible. El diagnóstico prenatal es cada vez más común, y se realiza a través del análisis de células del feto, que se obtienen por tres vías diferentes: amniocentesis (semanas 14-16 del embarazo), una biopsia corial (semanas 9-12 del embarazo) o funiculocentesis (a partir de las 20 semanas de embarazo).
También pueden encontrarse hallazgos ecográficos que hagan sospechar de la presencia de la enfermedad, entre ellos se encuentran hydrops fetalis, longitud del fémur por debajo de la media, malformaciones cardíacas, branquicefalia y, sobre todo, higroma quístico en la nuca. Es muy importante si se da este caso, proporcionar un asesoramiento a la persona y ofrecerle la posibilidad de realizar un diagnóstico prenatal a través de las pruebas invasivas indicadas anteriormente.
En cuanto a la interrupción voluntaria del embarazo, es una decisión difícil debido a que pueden producirse diagnósticos erróneos, sobre todo cuando estamos en el caso de un mosaico, que podría dar lugar a una niña con características menos marcadas de la enfermedad. Por otra parte, la calidad de vida de las niñas Turner mejora constantemente.
Tratamiento
Una estatura reducida es el mayor obstáculo para una niña con síndrome de Turner. Al nacer, estas chicas por lo general tienen una menor longitud y pesan menos que las otras niñas. Durante los primeros años de su vida, crecen casi tan rápido como las otras niñas de su edad, pero con el tiempo, la diferencia de altura se hace más evidente. La diferencia es particularmente notable cuando las otras chicas entran en la pubertad y cuentan con aumentos rápidos de altura, lo que no ocurre con las niñas con Turner. Generalmente las mujeres con Turner que no están recibiendo tratamiento son en promedio 20 cm más bajas que otras mujeres. En los últimos años, las niñas con Turner están siendo tratadas con hormona de crecimiento y los resultados preliminares sugieren que la altura final se puede aumentar de 5 a 10 cm.
La disgenesia gonadal (ovarios subdesarrollados) es frecuente en el Síndrome de Turner; los ovarios no pueden responder a las órdenes del cerebro para producir las hormonas femeninas necesarias para el desarrollo sexual. Al carecer de estas hormonas, no pueden alcanzar el desarrollo de sus órganos reproductivos, lo que provoca que la mayoría de las mujeres con este trastorno sean estériles (entre el 5-10 % tienen un desarrollo ovárico suficiente como para tener la menarquia y un pequeño número han podido tener hijos con asistencia médica). No obstante, en la mayoría de los casos, estas mujeres suelen sufrir prematuramente los síntomas menopáusicos.
Por todo ello, las adolescentes con síndrome de Turner suelen recibir el tratamiento con estrógenos para provocar el desarrollo de los caracteres sexuales secundarios, y posteriormente, se administran dosis reducidas para mantener dichos caracteres y ayudar a evitar la osteoporosis en los años futuros.
Véase también
- Enfermedades genéticas
- Reglas Ritter
Bibliografía
Bondy, CA; Turner Syndrome Study Group. (2007 Jan). «Care of girls and women with Turner syndrome: A guideline of the Turner Syndrome Study Group». J Clin Endocrinol Metab 92 (1): 10-25. PMID 17047017. (enlace roto disponible en Internet Archive; véase el historial, la primera versión y la última).
Referencias
- 1 2 3 «What are the symptoms of Turner syndrome?». https://www.nichd.nih.gov/ (en inglés). Consultado el 28 de enero de 2022.
- 1 2 «Síndrome de Turner». MedlinePlus. Consultado el 19 de mayor de 2015.
- ↑ Morgan T. Turner syndrome: diagnosis and management. Am Fam Physician. 2007;76:405-410.
- ↑ Síndrome de Turner. Hallazgo de un cariotipo infrecuente
- ↑ Síndrome de Turner Archivado el 10 de noviembre de 2011 en Wayback Machine. en el sitio DisCap
- 1 2 «Síndrome de Turner». kidshealth.org. Consultado el 24 de enero de 2016.
- 1 2 3 4 5 6 7 8 9 10 11 12 Síndrome de Turner en MedlinePlus
- ↑ Pinsker, JE (2012 Jun). «Clinical review: Turner syndrome: updating the paradigm of clinical care». J Clin Endocrinol Metab 97 (6): E994-1003. PMID 22472565. doi:10.1210/jc.2012-1245.
Notas
Enlaces externos
- Síndrome de Turner. Orphanet: Portal de información de enfermedades raras y medicamentos huérfanos
- Síndrome de Turner en la Universidad Católica de Chile
- Sociedad de Síndrome de Turner de los Estados Unidos (en inglés)
- Síndrome de Turner en el National Institute of Child Health and Human Development (en inglés)
- YourChild: Turner Syndrome: University of Michigan Health System (en inglés)
- Endocrine and Metabolic Diseases Information Service (en inglés)
- La sociedad de apoyo del síndrome de Turner es una organización benéfica cuidadora de las necesidades de las personas con síndrome de Turner en todo el Reino Unido. (en inglés)
- Turner Contact Group Ireland - TCGI - una sociedad de beneficencia que apoya los afectados por el síndrome de Turner en Irlanda. (en inglés)
- New Zealand Turner Syndrome Support Group una sociedad de beneficencia de Nueva Zelanda, que apoya a las personas con síndrome de Turner (en inglés)
