| Síndrome de encefalopatía posterior reversible | ||
|---|---|---|
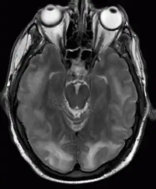
![]() Resonancia magnética nuclear en la que son visibles lesiones de encefalopatía posterior reversible. | ||
| Especialidad | neurología | |
| Sinónimos | ||
| Síndrome de leucoencefalopatía posterior reversible. | ||
El síndrome de encefalopatía posterior reversible, también llamado síndrome de leucoencefalopatía posterior reversible (RPLS por sus siglas en inglés), es un trastorno neurológico de inicio brusco que se presenta con dolor de cabeza, disminución del nivel de conciencia, convulsiones, trastornos visuales y déficits neurológicos focales.[1] En las imágenes obtenidas mediante resonancia magnética nuclear de la cabeza, se visualizan áreas de edema cerebral en la sustancia blanca que afecta predominante a las regiones posteriores del cerebro, principalmente al lóbulo parietal y al lóbulo occipital. El pronóstico a largo plazo es bueno, produciéndose por lo general recuperación completa, aunque en ocasiones persisten secuelas irreversibles. La mortalidad es de alrededor del 6%. El cuadro se asocia a diferentes circunstancias, algunas de las más frecuentes son: tratamiento con medicamentos inmunosupresores o quimioterápicos, hipertensión arterial, infecciones graves o sepsis, enfermedades autoinmunes como el lupus eritematoso sistémico y la púrpura trombocitopénica idiopática, insuficiencia renal y preeclampsia. La causa y el mecanismo fisiopatológico que provocan el síndrome no se conocen con exactitud, podría deberse a lesión en el endotelio de los vasos sanguíneos cerebrales por cambios bruscos en la presión arterial, o a la acción de sustancias llamadas citocinas que dañarían el endotelio de la pared de los vasos. [2][3]
Referencias
- ↑ Fischer, Marlene; Schmutzhard, Erich (4 de enero de 2017). «Posterior reversible encephalopathy syndrome». Journal of Neurology 264 (8): 1608-1616. PMC 5533845. PMID 28054130. doi:10.1007/s00415-016-8377-8.
- ↑ Síndrome de leucoencefalopatía posterior reversible: serie de casos y revisión de la literatura. Reumatología Clínica, Vol. 16, páginas 169-173 (marzo - abril 2020), DOI: 10.1016/j.reuma.2018.04.006.
- ↑ Liman, Thomas G.; Siebert, Eberhard; Endres, Matthias (febrero 2019). «Posterior reversible encephalopathy syndrome». Current Opinion in Neurology 32 (1): 25-35. PMID 30531559. S2CID 54471795. doi:10.1097/WCO.0000000000000640.
