| Síndrome de la arteria mesentérica superior | ||
|---|---|---|
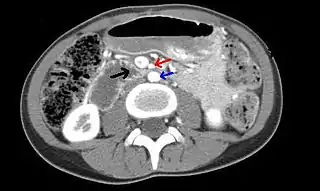
![]() Tomografía computarizada de abdomen y pelvis que muestra compresión duodenal (flecha negra) por la arteria mesentérica superior(flecha roja) y la aorta abdominal (flecha azul). | ||
| Especialidad | gastroenterología | |
| Síntomas | Saciedad temprana, náuseas, vómitos, dolor abdominal posprandial extremo "punzante", distensión y sensibilidad abdominales, eructos, reflujo y acidez estomacal. | |
El síndrome de la arteria mesentérica superior o síndrome de Wilkie es una entidad poco frecuente causada por la compresión de la tercera porción del duodeno entre de la arteria aorta y la arteria mesentérica superior causando dolor y una obstrucción abdominal alta.[1]
Historia
En 1842, Carl von Rokitansky realizó la primera descripción anatómica del síndrome de arteria mesentérica superior luego de analizar un caso de atrapamiento duodenal por compresión entre la arteria mesentérica superior y la aorta.
Se mantuvo patológicamente indefinido hasta 1927 cuando Wilkie publicó la primera serie completa de 75 pacientes.
Epidemiología
Es una patología frecuente en adultos jóvenes (10 y los 30 años), con predominio del sexo femenino causado principalmente por perdida de la grasa abdominal de manera abrupta.
Etiología
La rápida pérdida de peso es la principal causa de la aparición de este síndrome puede ser dada por diversas causas:
- Trastornos de alimentación
- Posterior a cirugías ortopédicas de columna vertebral (principalmente correctiva de escoliosis)
- Defectos congénitos (ligamento de Treitz corto, deformidades de la columna vertebral)[2]
- Síndrome de la compresión del tronco celiaco
- Idiopática
- Traumatismos severos
Síntomas
- Pérdida de peso[3]
- Distensión abdominal luego de las comidas
- Náuseas
- Vómitos con contenido alimentario
- Dolor en epigastrio tipo cólico que aliviado al estar de pie, o acostado del lado izquierdo.
- Obstrucción intestinal
Diagnóstico
- Rayos X abdominales simples
- Exámenes radiográficos en serie del tracto gastrointestinal superior
- Ultrasonido
- Arteriografía
- Tomografía computarizada[4]
Diagnóstico diferencial
Otras causas de dolor abdominal y obstrucción intestinal como:
- Cetoacidosis diabética
- Isquemia mesentérica
- Intolerancia alimentarias
- Esclerodermia
- Pancreatitis
- Colelitiasis
- Megaduodeno
- Bezoares
- Dispepsia
- Reflujo
Tratamiento
Tratamiento no invasivo
- Mejorar el estado nutricional del paciente, en casos graves puede llegar a ser necesario la alimentación por medio de una sonda enteral o parenteral según lo requiera.[5]
- Adquirir posiciones adecuadas después de comer
- Metoclopramida
Tratamiento invasivo
- Procedimiento de Strong
- Gastroyeyunostomía
- Duodenoyeyunostomía
Pronóstico
Si se da un diagnóstico temprano y tratamiento adecuado el pronóstico es excelente Si el diagnóstico es tardío pueden aparecer complicaciones como deshidratación progresiva, hipokalemia, y oliguria.
Otras complicaciones
- Desnutrición
- Hipotensión
- Presencia de úlcera péptica
- Neumonía por aspiración
- Desequilibrio electrolítico
Bibliografía
- Fernández López, M.ª T., López Otero, M.ª J., Bardasco Alonso, M.ª L., Alvarez Vázquez, P., Rivero Luis, M.ª T., & López Barros, G.. (2011). Síndrome de Wilkie: a propósito de un caso. Nutrición Hospitalaria, 26(3), 646-649. Recuperado en 7 de abril de 2019, de http://scielo.isciii.es/scielo.php?script=sci_arttext&pid=S0212-16112011000300031&lng=es&tlng=es.
- Castillo Wilsman, M. A., Álvarez Galán, M. C., Rodríguez-Bobada, R., & Arenas Mosqueda, J. (2014). Dolor abdominal recurrente psicológico o anatómico secundario a síndrome de Wilkie. Revista Clínica de Medicina de Familia, . Recuperado de http://www.revclinmedfam.com/articulo.php?art=369
- González Hermosillo, D., Vélez-Pérez, F. M., Lemus-Ramírez, R. I., & Martínez-Garza, P. A. (2017, enero). Síndrome de Wilkie. Reporte de un caso. ELSEVIER, 85(1). Recuperado de https://www.elsevier.es/es-revista-cirugia-cirujanos-139-articulo-sindrome-wilkie-reporte-un-caso-S0009741115002637
- Poblete-Otero, F., & Álvarez-Pertuz, H., & Arana-Sáenz, A. (2015). Síndrome de Wilkie. Acta Médica Costarricense, 57 (3), 145-148.
- Karrer FM. Superior Mesenteric Artery Syndrome. Medscape Reference. 6 de enero de 2017; http://emedicine.medscape.com/article/932220-overview.
- Gebhart T. Superior Mesenteric Artery Syndrome. Gastroenterol Nursing. Mayo-junio de 2015; 38(3):189-93. http://www.ncbi.nlm.nih.gov/pubmed/26035775.
Referencias
- ↑ Karrer FM. Superior Mesenteric Artery Syndrome. Medscape Reference. January 6, 2017; http://emedicine.medscape.com/article/932220-overview
- ↑ Castillo Wilsman, M. A., Álvarez Galán, M. C., Rodriguez-Bobada, R., & Arenas Mosqueda, J. (2014). Dolor abdominal recurrente psicológico o anatómico secundario a síndrome de Wilkie. Revista Clínica de Medicina de Familia, . Recuperado de http://www.revclinmedfam.com/articulo.php?art=369
- ↑ Fernández López, M.ª T., López Otero, M.ª J., Bardasco Alonso, M.ª L., Alvarez Vázquez, P., Rivero Luis, M.ª T., & López Barros, G.. (2011). Síndrome de Wilkie: a propósito de un caso. Nutrición Hospitalaria, 26(3), 646-649. Recuperado en 07 de abril de 2019, de http://scielo.isciii.es/scielo.php?script=sci_arttext&pid=S0212-16112011000300031&lng=es&tlng=es
- ↑ González Hermosillo, D., Vélez-Pérez, F. M., Lemus-Ramírez, R. I., & Martínez-Garza, P. A. (2017, enero). Síndrome de Wilkie. Reporte de un caso. ELSEVIER, 85(1). Recuperado de https://www.elsevier.es/es-revista-cirugia-cirujanos-139-articulo-sindrome-wilkie-reporte-un-caso-S0009741115002637
- ↑ Gebhart T. Superior Mesenteric Artery Syndrome. Gastroenterol Nursing. May-June 2015; 38(3):189-93. http://www.ncbi.nlm.nih.gov/pubmed/26035775
