| Sarcoma sinovial | ||
|---|---|---|
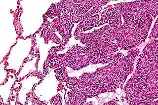
![]() Micrografía de un sarcoma sinovial monofásico. El aspecto histológico es inespecífico y se superpone con MPNST y fibrosarcoma. Tinción H&E. | ||
| Especialidad | Oncología | |
| Sinónimos | ||
| Sinovioma maligno | ||
Un sarcoma sinovial (también conocido como: sinovioma maligno)[1] es una forma rara de cáncer que ocurre principalmente en las extremidades de los brazos o las piernas, a menudo cerca de las cápsulas articulares y las vainas de los tendones.[2] Es un tipo de sarcoma de tejidos blandos.
El nombre "sarcoma sinovial" fue acuñado a principios del siglo XX, ya que algunos investigadores pensaron que la similitud microscópica de algunos tumores con la sinovial, y su propensión a surgir adyacente a las articulaciones, indicaban un origen sinovial; sin embargo, las células reales a partir de las cuales se desarrolla el tumor son desconocidas y no necesariamente sinoviales.[3]
Los sarcomas sinoviales primarios son más comunes en los tejidos blandos cerca de las articulaciones grandes del brazo y la pierna, pero se han documentado en la mayoría de los tejidos y órganos humanos, incluidos el cerebro, la próstata y el corazón.
El sarcoma sinovial ocurre en aproximadamente 1-2 de cada 1,000,000 de personas al año.[4] Ocurren con mayor frecuencia en la tercera década de la vida, y los hombres se ven afectados con mayor frecuencia que las mujeres (relación alrededor de 1.2: 1).[4][5]
Signos y síntomas
El sarcoma sinovial generalmente se presenta con una hinchazón o masa asintomática, aunque pueden notificarse síntomas generales relacionados con tumores malignos, como fatiga.[6]
Diagnóstico
El diagnóstico de sarcoma sinovial generalmente se realiza en función de la histología y se confirma por la presencia de translocación cromosómica t (X; 18).[7]
Histopatología
Dos tipos de células pueden verse microscópicamente en el sarcoma sinovial. Un tipo fibroso, conocido como huso o célula sarcomatosa, es relativamente pequeño y uniforme, y se encuentra en láminas. El otro es epitelial en apariencia. El sarcoma sinovial clásico tiene una apariencia bifásica con ambos tipos presentes. El sarcoma sinovial también puede parecer poco diferenciado o ser fibroso monofásico, que consiste solo en láminas de células fusiformes. Algunas autoridades[8] afirman que, muy raramente, puede haber una forma epitelial monofásica que causa dificultad en el diagnóstico diferencial. Dependiendo del sitio, existe una similitud con el sarcoma sinonasal bifenotípico, aunque los hallazgos genéticos son distintivos.
Al igual que otros sarcomas de tejidos blandos, no existe un sistema de clasificación universal para informar los resultados de histopatología.[9] En Europa, el sistema Trojani o francés está ganando popularidad[10] mientras que el sistema de clasificación NCI es más común en los Estados Unidos. El sistema Trojani califica la muestra, según la diferenciación tumoral, el índice mitótico y la necrosis tumoral, entre 0 y 6 y luego la convierte en un grado entre 1 y 3, donde 1 representa un tumor menos agresivo.[9] El sistema NCI también es de tres grados, pero tiene en cuenta otros factores.
Biología Molecular
La mayoría, y quizás todos, los casos de sarcoma sinovial están asociados con una translocación recíproca t (x; 18) (p11.2; q11.2). Existe cierto debate sobre si la observación molecular en sí misma es definitiva del sarcoma sinovial.[11][12][13]
El diagnóstico de sarcoma sinovial generalmente se realiza según la histología y se confirma por la presencia de t (X; 18).[14] Este evento de translocación entre el gen SS18 en el cromosoma 18 y uno de los 3 genes SSX ( SSX1, SSX2 y SSX4 ) en el cromosoma X provoca la presencia de un gen de fusión SS18-SSX. La proteína de fusión resultante reúne el dominio de activación transcripcional de SS18 y los dominios represores transcripcionales de SSX. También se incorpora al complejo de remodelación de cromatina SWI / SNF, un conocido supresor tumoral.[15] Se cree que SS18-SSX subyace en la patogénesis del sarcoma sinovial a través de la desregulación de la expresión génica.[16]
Existe cierta asociación entre el tipo de fusión SS18-SSX1 o SS18-SSX2 y la morfología tumoral y la supervivencia a cinco años.[17]
Tratamiento
El tratamiento suele ser multimodal e involucra cirugía, quimioterapia y radioterapia:[18]
- Cirugía, para extirpar el tumor y un margen de seguridad del tejido sano. Este es el pilar del tratamiento del sarcoma sinovial y es curativo en aproximadamente el 20-70% de los pacientes, dependiendo del estudio particular que se cita.[19]
- Quimioterapia convencional (por ejemplo, clorhidrato de doxorrubicina e ifosfamida ), para reducir el número de metástasis microscópicas restantes.[20] El beneficio de la quimioterapia en el sarcoma sinovial para la supervivencia general sigue sin estar claro, aunque un estudio reciente ha demostrado que la supervivencia de pacientes con enfermedad avanzada y poco diferenciada mejora marginalmente con el tratamiento con doxorrubicina / ifosfamida.[20][21]
- Radioterapia para reducir la posibilidad de recurrencia local.[20] El beneficio de la radioterapia en esta enfermedad es menos claro que para la quimioterapia.[22]
Referencias
- ↑ «Synovioma». Encyclopædia Britannica Online. Consultado el 20 de mayo de 2012.
- ↑ «33». Enzinger and Weiss's Soft Tissue Tumors (6th edición). St Louis, Missouri: CV Mosby. 2001. pp. 1052-1070.
- ↑ Raphael E. Pollock, ed. (2002). Soft Tissue Sarcomas. American Cancer Society Atlas of Clinical Oncology. BC Decker. ISBN 155009128X.
- 1 2 Ferrari and Collini (2012). «Synovial Sarcoma». ESUN 9 (5).
- ↑ «33». Enzinger and Weiss's Soft Tissue Tumors (6th edición). St Louis, Missouri: CV Mosby. 2001. pp. 1052-1070.
- ↑ 楊照彬 (2010). «青少年骨髓性肉瘤初期以背痛呈現: 病例報告». 台灣復健醫學雜誌 38 (4): 269-275.
- ↑ «Should molecular testing be required for diagnosing synovial sarcoma? A prospective study of 204 cases». Cancer 98 (12): 2700-7. 2003. PMID 14669292. doi:10.1002/cncr.11840.
- ↑ Raphael E. Pollock, ed. (2002). Soft Tissue Sarcomas. American Cancer Society Atlas of Clinical Oncology. BC Decker. ISBN 155009128X.
- 1 2 Coindre JM (2006). «Grading of soft tissue sarcomas: review and update». Arch. Pathol. Lab. Med. 130 (10): 1448-53. PMID 17090186. doi:10.1043/1543-2165(2006)130[1448:GOSTSR]2.0.CO;2.
- ↑ A. S. Paul (2003). «The management of soft-tissue sarcomas of the extremities». Current Orthopaedics 17 (2): 124-133. doi:10.1054/cuor.2002.0314.
- ↑ «Diagnostic gold standard for soft tissue tumours: morphology or molecular genetics?». Histopathology 37 (6): 485-500. 2000. PMID 11122430. doi:10.1046/j.1365-2559.2000.01107.x.
- ↑ «Malignant peripheral nerve sheath tumors with t(X;18). A pathologic and molecular genetic study». Mod. Pathol. 13 (12): 1336-46. 2000. PMID 11144931. doi:10.1038/modpathol.3880247.
- ↑ «Malignant peripheral nerve sheath tumors are t(X;18)-negative sarcomas. Molecular analysis of 25 cases occurring in neurofibromatosis type 1 patients, using two different RT-PCR-based methods of detection». Mod. Pathol. 15 (6): 589-92. 2002. PMID 12065770. doi:10.1038/modpathol.3880570.
- ↑ «Should molecular testing be required for diagnosing synovial sarcoma? A prospective study of 204 cases». Cancer 98 (12): 2700-7. 2003. PMID 14669292. doi:10.1002/cncr.11840.
- ↑ Middeljans, E; Wan, X; Jansen, PW; Sharma, V; Stunnenberg, HG; Logie, C (2012). «SS18 together with animal-specific factors defines human BAF-type SWI/SNF complexes». En Freitag, Michael, ed. PLOS ONE 7 (3): e33834. PMC 3307773. PMID 22442726. doi:10.1371/journal.pone.0033834.
- ↑ Raphael E. Pollock, ed. (2002). Soft Tissue Sarcomas. American Cancer Society Atlas of Clinical Oncology. BC Decker. ISBN 155009128X.
- ↑ «Impact of SS18-SSX fusion type on the clinical behavior of synovial sarcoma: a multi-institutional retrospective study of 243 patients». Cancer Res. 62 (1): 135-40. 2002. PMID 11782370.
- ↑ Thway, K.; Fisher, C. (2014). «Synovial sarcoma: defining features and diagnostic evolution». Annals of Diagnostic Pathology 18: 369-380. PMID 25438927. doi:10.1016/j.anndiagpath.2014.09.002.
- ↑ «Synovial sarcoma: a multivariate analysis of prognostic factors in 112 patients with primary localized tumors of the extremity». J. Clin. Oncol. 18 (10): 2087-94. 2000. PMID 10811674.
- 1 2 3 Thway, K.; Fisher, C. (2014). «Synovial sarcoma: defining features and diagnostic evolution». Annals of Diagnostic Pathology 18: 369-380. PMID 25438927. doi:10.1016/j.anndiagpath.2014.09.002.
- ↑ Ren, Xiao-Hua; WU, Xiao-Min; JIN, Cheng; CUI, Yong-An (2009). «Advances in the diagnosis and treatment of synovial sarcoma». Journal of Medical Biomechanics 15 (4): 541-542. Consultado el 7 de mayo de 2016.
- ↑ Thway, Khin; Fisher, Cyril (1 de diciembre de 2014). «Synovial sarcoma: defining features and diagnostic evolution». Annals of Diagnostic Pathology 18 (6): 369-380. ISSN 1532-8198. PMID 25438927. doi:10.1016/j.anndiagpath.2014.09.002.
Enlaces externos
- Ayuda sobre el sarcoma: ¿Qué es el sarcoma sinovial?
- WebMD: Descripción general del sarcoma sinovial
