| Tumor endometrioide | ||
|---|---|---|
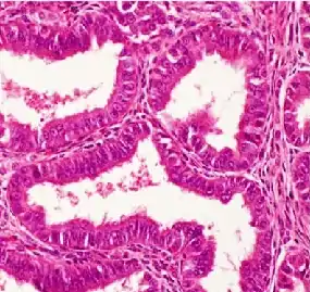
![]() Histopatología de un adenocarcinoma endometrioide bien diferenciado en el ovario | ||
| Especialidad | Oncología, ginecología | |
Los tumores endometrioides son una clase de tumores que se caracterizan por su parecido con el endometrio/[1] carcinoma endometrial, y más de un tercio de los casos tienen una diferenciación escamosa focal.
Ovario

Forman parte del grupo de tumores epiteliales de superficie de las neoplasias ováricas (de las cuales el 10-20% son del tipo endometrioide). Las variantes benignas y limítrofes son raras, ya que la mayoría son malignas. Existe una asociación con la endometriosis y el carcinoma endometrial primario concurrente (cáncer de endometrio).
En el examen patológico macroscópico, el tumor es quístico y puede ser sólido y algunos surgen en la endometriosis quística. En el 40% de los casos, los tumores endometrioides son bilaterales.[3]
Endometrio
El carcinoma endometrioide también puede surgir en el endometrio.[4][5]
Los grados 1 y 2 se consideran cáncer de endometrio "tipo 1", mientras que el grado 3 se considera "tipo 2".[6]
Incidencias relativas de carcinomas de endometrio por histopatología, siendo endometrioide en la mayoría de los casos.
Microscopía óptica
La microscopía óptica muestra glándulas tubulares, parecidas al endometrio[7]
Biología molecular
Mutaciones CTNNB1 y PTEN
Los carcinomas endometrioides de ovario y de endometrio tienen perfiles de mutación de los genes CTNNB1 y PTEN distintos. Las mutaciones de PTEN son más frecuentes en los carcinomas endometrioides de bajo grado (67%) en comparación con los carcinomas endometrioides de bajo grado de ovario (17%). Por el contrario, las mutaciones de CTNNB1 son significativamente diferentes en los carcinomas endometrioides de ovario de bajo grado (53%) en comparación con los carcinomas endometrioides de bajo grado (28%). Esta diferencia en la frecuencia de mutaciones en CTNNB1 puede reflejar los distintos microambientes tumorales; las células epiteliales que recubren un quiste endometriósico dentro del ovario están expuestas a un entorno altamente oxidativo que promueve la tumorigénesis.[8]
Referencias
- ↑ «Dorlands Medical Dictionary:endometrioid tumor».
- ↑ Kosary, Carol L. (2007). «Chapter 16: Cancers of the Ovary». En Baguio, RNL; Young, JL; Keel, GE; Eisner, MP; Lin, YD; Horner, M-J, eds. SEER Survival Monograph: Cancer Survival Among Adults: US SEER Program, 1988-2001, Patient and Tumor Characteristics. SEER Program. NIH Pub. No. 07-6215. Bethesda, MD: National Cancer Institute. pp. 133-144.
- ↑ Robbins; Cotran, eds. (2005). Pathologic Basis of Disease (7th edición). Philadelphia: Saunders. ISBN 978-0-7216-0187-8.
- ↑ «Combined large cell neuroendocrine and endometrioid carcinoma of the endometrium». Int. J. Gynecol. Pathol. 27 (1): 49-57. January 2008. PMID 18156975. doi:10.1097/pgp.0b013e31806219c5.
- ↑ MeSH: Carcinoma,+Endometrioid (en inglés)
- ↑ «ACS :: What Is Endometrial Cancer?». Consultado el 24 de marzo de 2010.
- ↑ Shahrzad Ehdaivand. «Ovary tumor - Endometrioid tumors - General». Pathology Outlines. Archivado desde el original el 16 de febrero de 2020. Consultado el 14 de abril de 2021. Topic Completed: 1 December 2012. Revised: 6 March 2020
- ↑ McConechy, M. K.; Ding, J; Senz, J; Yang, W; Melnyk, N; Tone, A. A.; Prentice, L. M.; Wiegand, K. C. et al. (2014). «Ovarian and endometrial endometrioid carcinomas have distinct CTNNB1 and PTEN mutation profiles». Modern Pathology 27 (1): 128-34. PMC 3915240. PMID 23765252. doi:10.1038/modpathol.2013.107.
