| Virus de la encefalitis equina venezolana | ||
|---|---|---|
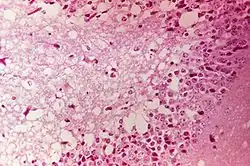
![]() Fotografía de tejido cerebral de ratón después de morir de Encefalitis Venezolana. Presenta necrosis neural y edema. | ||
| Taxonomía | ||
| Dominio: | Riboviria | |
| Reino: | Orthornavirae | |
| Filo: | Kitrinoviricota | |
| Clase: | Alsuviricetes | |
| Orden: | Martellivirales | |
| Familia: | Togaviridae | |
| Género: | Alphavirus | |
| Especie: | Venezuelan equine encephalitis virus | |
| Clasificación de Baltimore | ||
| Grupo: | IV (Virus ARN monocatenario positivo) | |
El virus de la encefalitis equina venezolana es un patógeno viral transmitido por mosquitos que causa la encefalitis equina venezolana (EEV). Esta enfermedad afecta a todas las especies equinas, como caballos, burros y cebras. Después de la infección, los equinos pueden morir repentinamente o mostrar trastornos en el sistema nervioso central. Los humanos también pueden contraer esta enfermedad. Los adultos sanos que se infectan con el virus pueden experimentar síntomas similares a los de la gripe, como fiebre alta y dolores de cabeza. Las personas con sistemas inmunitarios debilitados y los jóvenes y los ancianos pueden enfermarse gravemente o morir a causa de esta enfermedad.[1]
El virus se transmite principalmente por mosquitos. Estos pican a un animal infectado, absorben el virus, y luego pican a otro animal o humano, al que infectan. La velocidad con la que se propaga la enfermedad depende del subtipo del virus y de la densidad de las poblaciones de mosquitos y la especie de mosquito.[2]
Los subtipos enzoóticos del virus producen enfermedades endémicas de ciertas áreas. Generalmente, estos serotipos no se propagan a otras localidades. Los subtipos enzoóticos están asociados con el ciclo de transmisión roedor-mosquito. Estas formas del virus pueden causar enfermedades humanas, pero generalmente no afectan la salud de los equinos.[2]
Los subtipos de epizootias, por otro lado, pueden propagarse rápidamente a través de grandes poblaciones. Estas formas del virus son altamente patógenas para los equinos y también pueden afectar la salud humana. Los equinos, más que los roedores, son sus principales portadores y propagan la enfermedad. Los equinos infectados desarrollan gran número de virus en su sistema circulatorio. Cuando un insecto que se alimenta de sangre se alimenta de tales animales, contrae este virus y lo transmite a otros animales o humanos. Aunque otros animales, como el ganado vacuno, los cerdos y los perros, pueden infectarse, generalmente no muestran signos de la enfermedad ni contribuyen a su propagación.[3]
Virología
Estructura
El virión tiene una estructura icosaédrica T=4, con un diámetro de aproximadamente 70 nm de diámetro. El material nuclear es rodeado por una nucleocápside que tiene una simetría icosaédrica de T=4.[4]
Subtipos virales
Las pruebas serológicas realizadas a este virus han mostrado la presencia de seis subtipos diferentes (clasificados I a VI).[5] Estos han recibido nombres, incluidos los subtipos Mucambo, Tonate y Pixuna. Hay siete variantes diferentes en el subtipo I, y tres de estas variantes, A, B y C son las cepas epizoóticas.
El virus Mucambo (subtipo III) parece haber evolucionado alrededor de 1807 d.C. (intervalo de confianza del 95%: 1559-1944).[6] En Venezuela, el subtipo Mucambo fue identificado en 1975 utilizando células de mosquito cultivadas.[7]
Brotes
En América, se han notificado 21 brotes del virus de la encefalitis equina venezolana.[8]
Este virus fue aislado en 1938 y desde entonces se han informado brotes en muchos países diferentes como en México, Colombia, Venezuela y Estados Unidos.[9]
Entre diciembre de 1992 y enero de 1993, en estado Trujillo, Venezuela, se reportó un brote de este virus. Se reportaron 28 casos de la enfermedad junto con 12 muertes.[2]
En junio de 1993 ocurrió un brote en el estado Zulia, este brote fue más grande que el anterior. En el brote murieron 55 humanos y 66 equinos.[10]
En 1995 ocurrió otro brote en Venezuela y Colombia. El 23 de mayo de 1995, se informaron casos similares a la encefalitis equina en la parte noroeste de Colombia. El brote se extendió más hacia el norte que hacia el sur. Se informó que afectó a 11.390 casos febriles y 16 muertes de humanos. En equinos, se informaron alrededor de 500 casos con 475 muertes.[5][11]
En septiembre de 1995 ocurrió otro brote en Colombia. Este brote afectó a 14.156 humanos y produjo 26 muertes de humanos.[12] Una posible explicación de los brotes graves fue la lluvia particularmente intensa. Esto podría haber causado un mayor número de mosquitos que podrían servir como vectores de la enfermedad. Una explicación más probable es que la deforestación provocó un cambio en las especies de mosquitos. Los mosquitos Culex, que prefieren los roedores, fueron reemplazados por mosquitos de la especie Aedes taeniorhynchus, que tienen más probabilidades de picar a humanos y equinos grandes.[13]
Aunque la mayoría de los brotes del virus de la encefalitis equina venezolana ocurren en América Central y Sudamérica, el virus tiene potencial para volver a aparecer en los Estados Unidos. Se ha demostrado que la especie de mosquitoAedes albopictus es un portador viable del virus.[12]
Vacuna
Existe una vacuna de cepa inactivada que contiene la cepa C-84. Esta se usa para inmunizar caballos. Otra vacuna, que contiene la cepa TC-83, solo se usa en humanos en puestos militares y de laboratorio que corren el riesgo de contraer el virus. La vacuna humana puede provocar efectos secundarios y no inmuniza completamente al paciente. La cepa TC-83 se generó pasando el virus 83 veces a través de un cultivo celular de corazón de cuy; C-84 es una cepa derivada del TC-83.[14]
Arma biológica
Durante la Guerra Fría, tanto el programa de armas biológicas de los Estados Unidos como el programa de armas biológicas soviéticas investigaron el virus.[15]
En abril de 2009, el Instituto de Investigación Médica de Enfermedades Infecciosas del Ejército de EE. UU. en Fort Detrick informó que se descubrió que faltaban muestras del virus de la encefalitis equina venezolana de un grupo de muestras dejadas por un investigador fallecido. El informe indicó que es probable que las muestras perdidas se encontraran entre las muestras destruidas cuando un congelador no funcionó.[16]
Referencias
- ↑ «Venezuelan Equine Encephalomyelitis». web.archive.org. 28 de abril de 2006. Consultado el 20 de julio de 2022.
- 1 2 3 «Venezuelan Equine Encephalomyelitis». web.archive.org. 28 de abril de 2006. Consultado el 20 de julio de 2022.
- ↑ «Venezuelan Equine Encephalomyelitis». web.archive.org. 28 de abril de 2006. Consultado el 20 de julio de 2022.
- ↑ Weaver, Scott C.; Ferro, Cristina; Barrera, Roberto; Boshell, Jorge; Navarro, Juan-Carlos (2004-01). «V ENEZUELAN E QUINE E NCEPHALITIS». Annual Review of Entomology (en inglés) 49 (1): 141-174. ISSN 0066-4170. doi:10.1146/annurev.ento.49.061802.123422. Consultado el 20 de julio de 2022.
- 1 2 Vlak, Just M. (July 2007). «Gernot H. Bergold (1911–2003)». Journal of Invertebrate Pathology 95 (3): 231-232. doi:10.1016/j.jip.2007.03.015.
- ↑ Auguste, Albert J.; Volk, Sara M.; Arrigo, Nicole C.; Martinez, Raymond; Ramkissoon, Vernie; Adams, A. Paige; Thompson, Nadin N.; Adesiyun, Abiodun A. et al. (September 2009). «Isolation and phylogenetic analysis of Mucambo virus (Venezuelan equine encephalitis complex subtype IIIA) in Trinidad». Virology 392 (1): 123-130. PMC 2804100. PMID 19631956. doi:10.1016/j.virol.2009.06.038.
- ↑ Esparza, J.; Sánchez, A. (June 1975). «Multiplication of Venezuelan Equine Encephalitis (Mucambo) virus in cultured mosquito cells». Archives of Virology 49 (2–3): 273-280. PMID 813617. doi:10.1007/BF01317545.
- ↑ Weaver, Scott C.; Ferro, Cristina; Barrera, Roberto; Boshell, Jorge; Navarro, Juan-Carlos (7 de enero de 2004). «Venezuelan equine encephalitis». Annual Review of Entomology 49 (1): 141-174. PMID 14651460. doi:10.1146/annurev.ento.49.061802.123422.
- ↑ Osorio, Jorge E.; Yuill, Thomas M. (2017). «Venzuelan Equine Encephalitis». En Beran, George W., ed. Handbook of zoonoses. Section B Viral Zoonoses. CRC Press. ISBN 9781351441797.
- ↑ Rico-Hesse, R; Weaver, S C; de Siger, J; Medina, G; Salas, R A (6 de junio de 1995). «Emergence of a new epidemic/epizootic Venezuelan equine encephalitis virus in South America.». Proceedings of the National Academy of Sciences of the United States of America 92 (12): 5278-5281. Bibcode:1995PNAS...92.5278R. PMC 41677. PMID 7777497. doi:10.1073/pnas.92.12.5278.
- ↑ Organización Panamericana de la Salud (2003). Zoonosis y enfermedades transmisibles comunes al hombre y a los animales. Washington DC, USA. p. 94 p.pdf.107. ISBN 92 75 11992 9.
- 1 2 Beaman, Joseph R.; Turell, Michael J. (1 de enero de 1991). «Transmission of Venezuelan Equine Encephalomyelitis Virus by Strains of Aedes albopictus (Diptera: Culicidae) Collected in North and South America». Journal of Medical Entomology 28 (1): 161-164. PMID 2033608. doi:10.1093/jmedent/28.1.161.
- ↑ Weaver, Scott C.; Ferro, Cristina; Barrera, Roberto; Boshell, Jorge; Navarro, Juan-Carlos (2004). «Venezuelan equine encephalitis». Annual Review of Entomology 49: 141-174. ISSN 0066-4170. PMID 14651460. doi:10.1146/annurev.ento.49.061802.123422. Consultado el 10 de agosto de 2023.
- ↑ «Venezuelan equine encephalitis virus».
- ↑ Croddy, Eric (2002). «The Post-World War II Era and the Korean War». Chemical and Biological Warfare: A Comprehensive Survey for the Concerned Citizen. Springer Science & Business Media. pp. 30-31. ISBN 978-0-387-95076-1.
- ↑ Shaughnessy, Larry (22 de abril de 2009). «Army: 3 vials of virus samples missing from Maryland facility».
Bibliografía
- APHIS. 1996. Venezuelan Equine Encephalomyelitis
- «PAHO: Equine Encephalitis in the Event of a Disaster». Consultado el 17 de marzo de 2007.
- «PAHO Epidemiological Bulletin: Outbreak of Venezuelan Equine Encephalities». Consultado el 17 de marzo de 2007.
- «PATHINFO: Venezuelan Equine Encephalitis Virus». Archivado desde el original el 28 de agosto de 2006. Consultado el 17 de marzo de 2007.
- «Army: 3 vials of virus samples missing from Maryland facility». CNN. 22 de abril de 2009. Consultado el 23 de abril de 2009.
- PAHO. Zoonosis y enfermedades transmisibles comunes al hombre y a los animales.
Enlaces externos
Plantilla:U.S. biological weapons
- Tarjeta de enfermedad en la Organización Mundial de Sanidad Animal
- PAHO. Zoonosis y enfermedades transmisibles comunes al hombre y a los animales. p.94 p.pdf.107
Plantilla:U.S. biological weapons
